Aller au contenu

Accès parking gratuit pour la clientèle

Les différents types de traitements proposés au cabinet

1) Les traitements précoces ou interceptifs chez le jeune enfant

Dès l’âge de 6 ans, une première consultation chez l’orthodontiste peut être conseillée, notamment dans les cas de dysfonctions orales (mauvaise posture de la langue, respiration buccale) ou encore de problème de positionnement ou de forme des arcades dentaires et/ou
des mâchoires.
La mission essentielle de ces traitements interceptifs est d’utiliser le potentiel de croissance de l’enfant pour guider en douceur les dents et les mâchoires dans la bonne position ou direction.
Ces traitements sont généralement assez courts (6 à 12 mois), peu invasifs et s’avèrent très efficaces. Ils sont généralement suivis d’une période de surveillance au cours de laquelle le jeune patient est revu 1 ou 2 fois par an par l’orthodontiste pour suivre l’évolution de la croissance et le renouvellement de la dentition.

2) Les traitements chez l’adolescent :

C’est vers l’âge de 12 ans que débutent généralement les traitements orthodontiques, lorsque toute les dents permanentes ont évolué sur les arcades dentaires. Ces traitements permettent de corriger les malpositions dentaires et de rétablir une occlusion (emboitement des dents) physiologique.
Les différents traitements utilisés peuvent être :
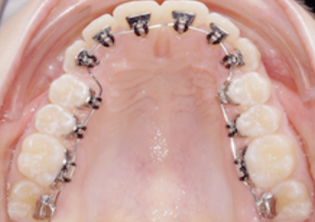
– Les appareillages multibagues fixes vestibulaires (brackets collés sur la face externe
des dents définitives). Les brackets peuvent être soit métalliques, soit en céramique.

– Les traitements par gouttières ou « aligneurs » amovibles

– Les traitements invisibles par appareillage multibagues fixe lingual (attaches collées
sur la face interne des dents définitives).

3) Les traitements chez l’adulte :

Les techniques proposées chez l’adulte peuvent être similaires à celles proposées à celles de l’adolescent, à la différence que les adultes portent généralement leur choix sur des techniques invisibles pour bénéficier d’un traitement en toute discrétion. La technique la plus fréquemment proposée dans notre cabinet est la technique linguale. Tous les praticiens ne proposent pas cette technique car elle exige une technicité particulière qui nécessite d’être bien formé pour la maîtriser.
Les avantages de la technique linguale sont les suivants :

– Elle permet de traiter tous les types de cas (du plus simple au plus complexe)
– C’est la seule technique à ce jour qui est complètement invisible (contrairement par
exemple à la technique par gouttières amovible qui est une technique discrète mais
tout de même légèrement visible)
– C’est une technique qui ne demande aucune coopération du patient puisque c’est
une technique fixe. Le praticien peut ainsi garder le contrôle sur le traitement et n’est
pas tributaire du patient (hormis l’entretien de l’appareil) pour la bonne réussite du
traitement et le mener à son terme dans le temps imparti.